张家港爱上网 张家港爱上网

 找回密码
 立即注册
搜索
查看: 106|回复: 0
打印 上一主题 下一主题

市一院神内神外联手,为七旬奶奶同时解除脑缺血+脑出血风险

 关闭 [复制链接]
跳转到指定楼层
楼主
发表于 2026-3-10 17:42:19 | 只看该作者 回帖奖励 |倒序浏览 |阅读模式 来自: 江苏







成功完成复杂

脑血管联合手术

















近日,我院神经内科与神经外科强强联手,成功为一名同时患有颈动脉重度狭窄及同侧脑动脉瘤的高龄患者,实施了一台高难度联合介入手术!既解除了脑缺血风险,又清除了脑出血隐患,堪称“一箭双雕”


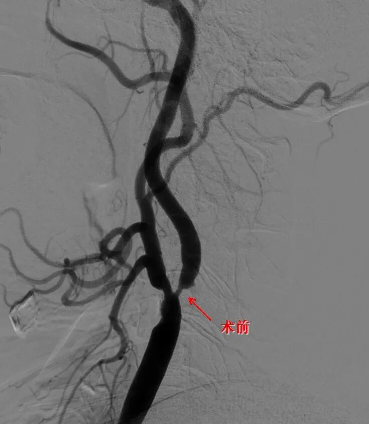
右颈内动脉重度狭窄

神经内科

支架植入后狭窄明显改善



同侧合并颅内段

2个动脉瘤

神经外科

血流导向密网支架植入后,

隔绝动脉瘤血流冲击


七旬奶奶头晕手麻,

一查竟是脑内“双重雷”


患者李奶奶,77岁,因反复头晕、左上肢麻木来院就诊。脑血管造影结果显示:右侧颈内动脉重度狭窄 + 同侧颈内动脉颅内段2个动脉瘤。


狭窄可致脑梗,动脉瘤可致脑出血——两大隐患同时存在,手术难度倍增!




神经内外科共定方案,

——“内外夹击”


单一学科难以高效解决,我院立即启动多学科协作机制。
神经内科与神经外科脑血管介入团队联合会诊,制定了“分阶段联合手术”方案,内外科接力,一次手术解决两个问题。





“两小时三十分”,

两台手术无缝衔接


  • 神经内科率先出手:吴秋义主任医师、徐瑶嘉医师携手微创介入,在狭窄部位精准植入支架,撑开血管,恢复脑部正常血流。


  • 神经外科接力攻坚:邱耀忠主任医师、李建副主任医师携手,针对同侧的两个动脉瘤植入血流导向密网支架,隔绝血流冲击,预防破裂。


    两个团队无缝衔接,全程仅用 2小时30分钟顺利完成!




术后效果:血流恢复,

动脉瘤稳定,奶奶康复出院


术后影像显示:脑动脉血流畅通,动脉瘤处理稳定,无出血或缺血并发症。
李奶奶头晕明显改善,已顺利出院,回归正常生活。




健康提醒:
如果您或家人有反复头晕、肢体麻木等症状,请及时就医检查。早发现、早诊断、多学科协作,是战胜复杂脑血管病的关键!


此次神经内外科团队的成功协作,

不仅体现了我院在复杂脑血管疾病

多学科诊疗模式上的成熟应用,

标志着我院在脑血管疾病联合诊疗领域的

实力与协作水平迈上新台阶。


回复

使用道具 举报

您需要登录后才可以回帖 登录 | 立即注册

本版积分规则

QQ|投诉争议|张家港爱上网 ( 苏ICP备06012519号-1 互联网信息服务(ICP)经营许可证(含电子公告): 苏B2-20130130号 )

GMT+8, 2026-3-28 04:51 , Processed in 0.125982 second(s), 18 queries .

Powered by Discuz! X3.1

© 2001-2012 Comsenz Inc.

返回顶部